Radiografia endorale digitale (RVG)

La radiovisiografia (RVG) è una tecnica digitale per la radiografia dei denti che consente una diagnosi rapida e precisa con una minima esposizione alle radiazioni. Questa tecnologia permette di visualizzare immediatamente le immagini sullo schermo, facilitando l’analisi rapida e la pianificazione della terapia da parte del dentista.
 
radiografia denti

Eccellenza in ogni sorriso

Che cos’è una radiografia dentale e che cos’è la radiovisiografia?

La radiografia dentale (RVG) usa raggi X per individuare problemi a denti e mascelle, mentre la radiovisiografia (RVG) è la versione digitale con meno radiazioni e analisi più veloce.
 
radiografia endorale

Radiovisiografia dentale

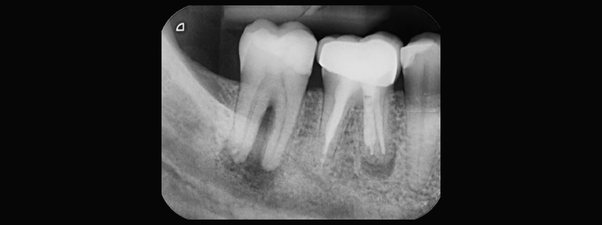
La radiografia dentale, o radiografia endorale, mostra l’immagine di singoli denti nelle loro dimensioni reali.

 Ogni singola immagine può rappresentare uno o due denti adiacenti.
 
  • Emette meno radiazioni del tradizionale rtg

    Con la radiografia digitale, l’esposizione alle radiazioni è ridotta del 95% rispetto alla radiografia convenzionale.
  • Esposizione minima alle radiazioni

    La realizzazione di una singola radiografia endorale (immagine di un singolo dente) comporta un’esposizione di circa 0,001 mSv.



     
  • Accesso più rapido all’analisi dell’immagine

    L’immagine è disponibile in pochi secondi e può essere elaborata al computer.
radiografia dentale

A cosa servono le radiografie RVG?

L’RVG (radiovisiografia) in odontoiatria viene utilizzata per:

- Rilevare la presenza di carie e diverse condizioni patologiche come granulomi, cisti, perdita ossea, fratture dentali o dell’osso alveolare, oltre ad altri processi patologici.

- Valutare lo stato parodontale, misurando la profondità delle tasche e l’altezza dell’osso alveolare.

- In endodonzia, l’RVG permette di confrontare le immagini dei canali radicolari, individuare canali obliterati e controllare la qualità dell’otturazione canalare.

Oltre alle radiografie RVG dei singoli denti, in odontoiatria si utilizza anche la panoramica dentale  - ortopantomografia, che fornisce un’immagine bidimensionale di entrambe le arcate dentarie, e la TAC delle arcate dentarie, che offre una visualizzazione tridimensionale.

 

Perché fare una radiografia dentale presso Centrodent?

I nostri apparecchi Carestream CS2200 emettono il 30% in meno di radiazioni rispetto a una radiografia tradizionale. Durante l’esecuzione dell’esame, il paziente sta seduto sulla poltrona odontoiatrica, per cui è necessario fissare un appuntamento.
 
Naruči se
  • Chiamateci per fissare un appuntamento

    Non vi porterà via molto tempo, servono circa 10 minuti.
  • Protezione del paziente

    Durante la radiografia vi forniamo un grembiule protettivo in piombo. Utilizziamo coperture monouso per proteggere i pazienti da possibili contaminazioni.
  • In quale formato viene fornita l’immagine del dente?

    La radiografia è in formato digitale (jpg) e ve la inviamo via e-mail o tramite WhatsApp.

Testimonianze dei nostri pazienti italiani

/dentista/dentista-in-croazia-recensioni.JPG?preset=ht-img
dentista fiume recensioni

Bindusa D.

52, Italia
Un team di professionisti altamente qualificato e con un forte senso di responsabilità individuale e collettiva. La Dottoressa Željka è l’espressione massima dell’eccellenza. Raccomando vivamente.
 
dentista fiume recensioni

Simone B.

57, Italia
La mia esperienza qui a CentroDent e stata molto positiva, mi sono fidato cecamente della dottoressa che mi ha seguito in tutta la fase della ricostruzione della bocca. Non ho mai avuto nessun problema o dolori. Sicuramente consiglierò a chi mi chiede un consiglio.
dentista fiume recensioni

Giuliana C.

54, Italia
Ringrazio in particolar modo la dottoressa Zeljka per la gentilezza, la professionalità e la spiegazione dettagliata e rassicurante durante le sedute, molto soddisfatta anche dal punto di vista estetico. Io e mio marito ora sappiamo a chi affidarci. 
dentista fiume recensioni

Emanuela Z.

61, Italia
Consiglio Centrodent, sono più di 10 anni che sono paziente della Dott.ssa Željka e mi sono sempre trovata bene. Igene,professionalità,gentilezza. Vieni informata nel dettaglio di tutte le cure da fare non ci sono mai sorprese, la Dott.ssa è molto pignola e svolge il Suo lavoro con passione il top. Quando mi siedo in quella poltrona sono tranquilla ripongo la mia totale fiducia. Grazie Dott.ssa Željka.

Eccellenza in ogni sorriso

Rivolgetevi a noi con fiducia

DOCUMENTO(png, jpg, jpeg, pdf, doc, docx)
/dentista/migliori-dentisti-in-croazia.jpg?preset=cs-img