Prima e dopo

Il nostro obiettivo è creare un sorriso che si integri in modo naturale con il volto, portando armonia e autenticità.
prima dopo dentista

Eccellenza in ogni sorriso

Sorriso naturale

Quando si realizzano protesi dentarie, come corone o protesi mobili, è fondamentale che il risultato finale appaia naturale. Il colore e la forma dei denti devono armonizzarsi con i tratti del viso e il tono della pelle, così da garantire un sorriso equilibrato, armonioso ed esteticamente gradevole.
sbiancamento dentale prima sbiancamento dentale dopo
Durata della terapia 2,5 ore

Sbiancamento dentale

Molti pazienti, dopo aver concluso una terapia ortodontica, notano variazioni nel colore dei denti e richiedono un trattamento di sbiancamento dentale.

Lo sbiancamento viene effettuato al termine della terapia ortodontica, dopo un’accurata pulizia e lucidatura dei denti. È importante sottolineare che nella zona frontale non erano presenti otturazioni.

La procedura è stata eseguita con il gel Opalescence Boost, applicato due volte per 20 minuti ciascuna. Durante e dopo la seduta i denti non hanno presentato sensibilità.

Le immagini del “dopo” mostrano la situazione a un mese dal trattamento: denti più chiari, luminosi e un sorriso visibilmente migliorato.
 

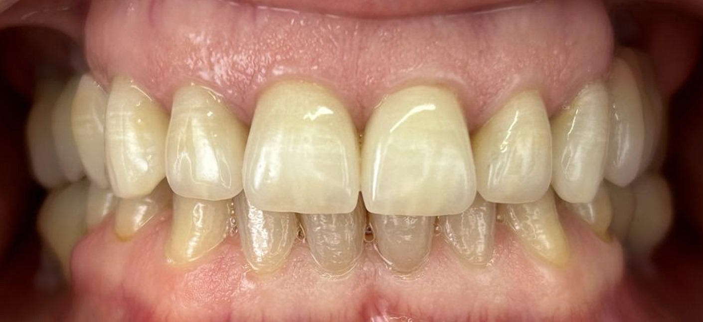
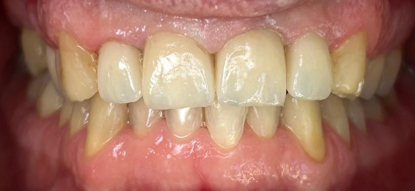
Corone in zirconia

Il paziente desiderava un miglioramento estetico dei denti frontali superiori, attraverso un approccio minimamente invasivo, senza limare i denti sani.

A causa di una marcata abrasione e usura dentale, si è scelto di applicare quattro corone in zirconia-ceramica sui denti anteriori.

Il consumo dei denti era dovuto al bruxismo (digrignamento) e ad altre abitudini sfavorevoli.

Prima di posizionare le corone definitive, è stata eseguita una lieve correzione gengivale con un ponte provvisorio e terapia laser, al fine di ottenere il risultato estetico più naturale possibile.
corone zirconio prima corone zirconio dopo
Durata della terapia 2 mesi
corona zirconio dentale su impianti prima corona zirconio dentale su impianti dopo
Durata della terapia 7 mesi

Corone in zirconia su impianti

Dopo l’estrazione di alcuni denti compromessi sotto i vecchi ponti, si è reso necessario rimuovere le precedenti riabilitazioni e sostituirle con moderne corone in zirconia.

Nelle aree posteriori i denti estratti sono stati sostituiti con impianti dentali.

Grazie all’utilizzo combinato di ponti su denti naturali e su impianti, siamo riusciti a riabilitare in modo completo entrambe le arcate.

Le corone in ceramica non sono state applicate su denti sani, e il colore delle nuove protesi è stato accuratamente armonizzato con quello dei denti naturali, così da raggiungere un risultato estetico equilibrato e piacevole.




 

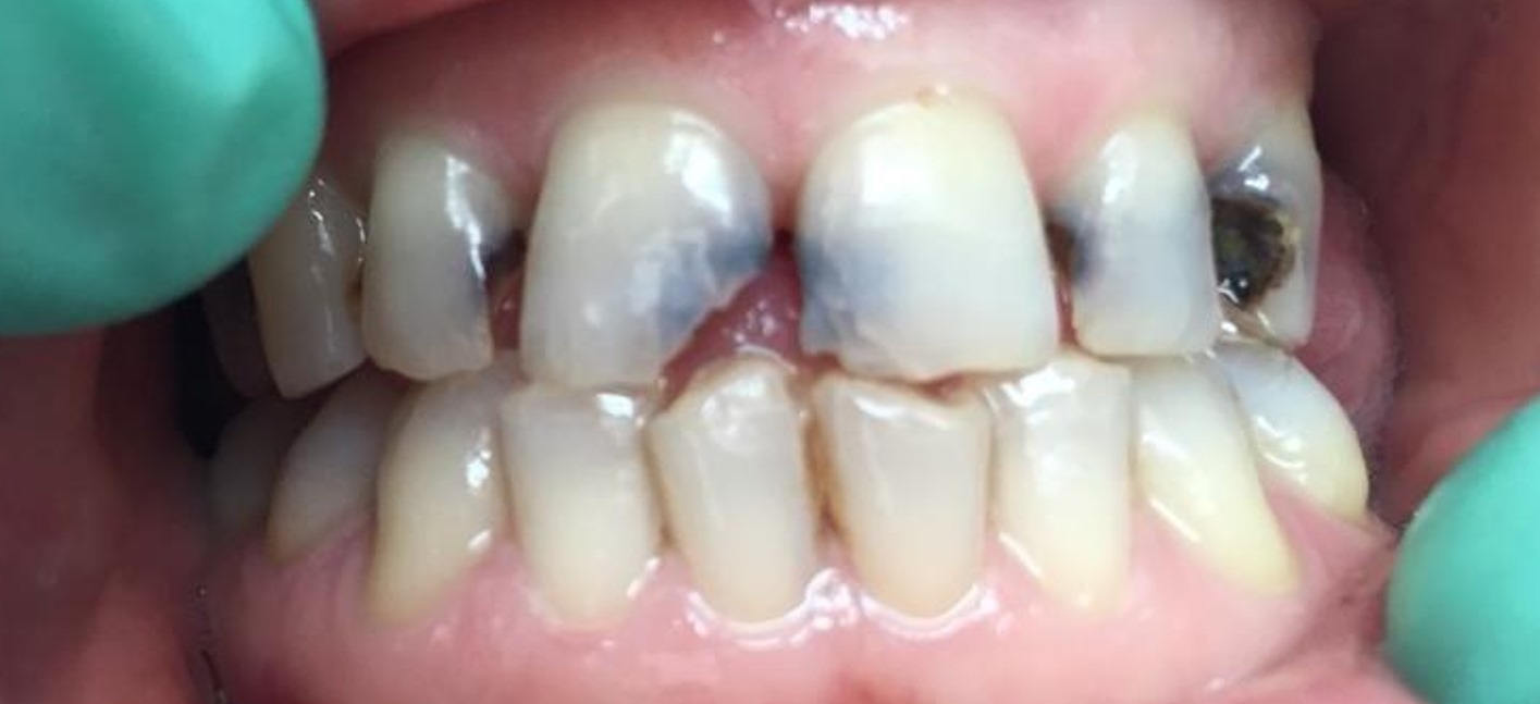
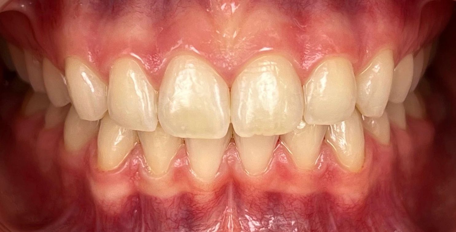
Corone ceramiche senza metallo

Nell’arcata superiore, nella zona frontale, alcuni denti erano gravemente compromessi dalla carie, mentre in quella laterale è stato necessario procedere con alcune estrazioni.

La carie è stata trattata e, nella zona laterale, i denti mancanti sono stati sostituiti con impianti dentali.

Sui denti pilastro anteriori sono state applicate corone ceramiche senza metallo, mentre nella zona laterale, per garantire una maggiore resistenza, sono state posizionate corone in ceramica su zirconia.

Le immagini del “dopo” mostrano il risultato protesico a distanza di 6 anni dalla conclusione della terapia, con funzionalità ed estetica perfettamente conservate.

 
corone senza metallo prima corone senza metallo dopo
Durata della terapia 8 mesi
Pulizia del tartaro – prima Pulizia del tartaro – dopo
Durata della terapia 45 min

Pulizia del tartaro

A causa di una positiva anamnesi familiare di parodontite, la pulizia professionale del tartaro viene eseguita regolarmente a scopo preventivo.

Mediante uno strumento a ultrasuoni si procede alla rimozione controllata dei depositi sopra e sotto il livello gengivale, con l’obiettivo di ridurre il rischio di sviluppo di processi infiammatori.

Particolare attenzione viene dedicata ai depositi sottogengivali che, nelle persone con predisposizione genetica, possono portare più precocemente a gengivite e malattia parodontale. Dopo la rimozione del tartaro, le superfici dentali vengono lucidate, inclusi i margini delle otturazioni esistenti, per ridurre la ritenzione della placca.

La procedura viene eseguita in modo delicato e senza danneggiare lo smalto, preservando la salute delle gengive e garantendo il mantenimento a lungo termine della salute parodontale.
 

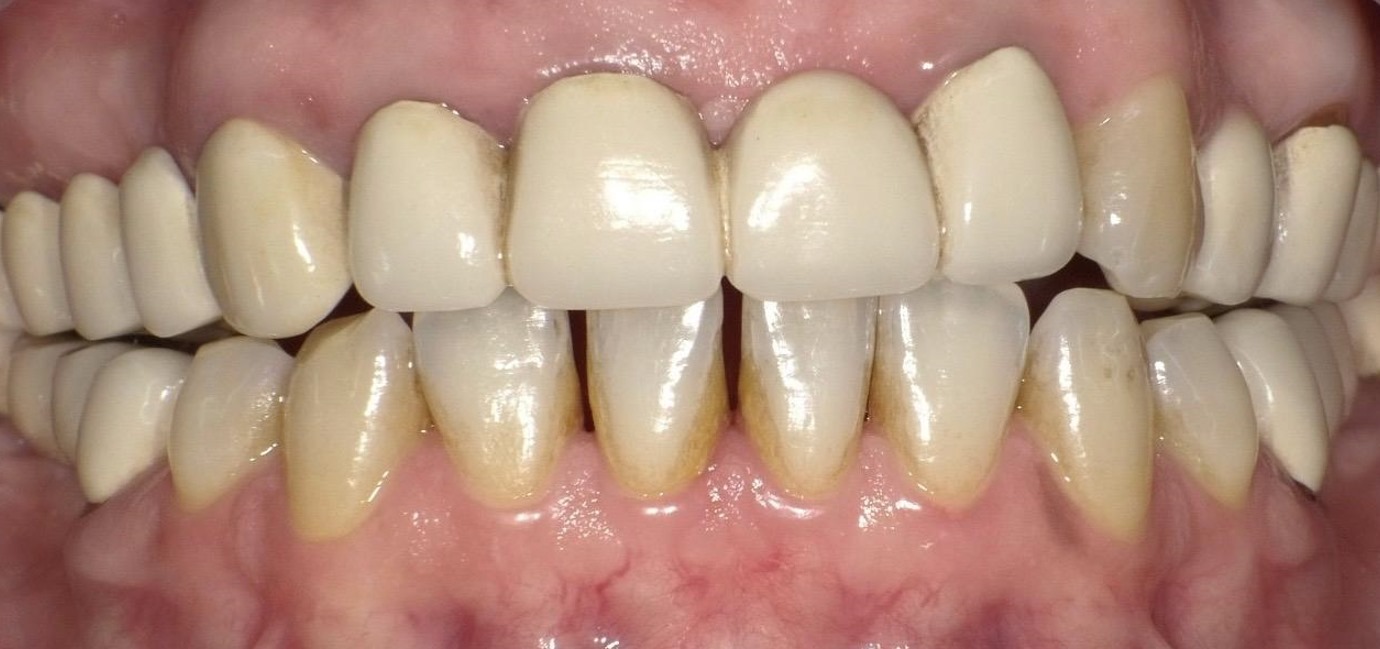
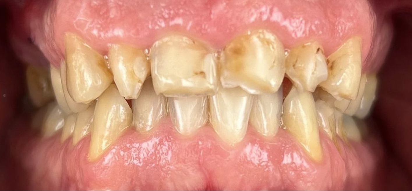
Ricostruzione dentale con faccette in composito diretto

Il paziente presentava un marcato danno dello smalto dovuto al consumo prolungato di bevande gassate e a un’igiene orale insufficiente, con conseguente demineralizzazione, perdita dello strato superficiale dello smalto, compromissione estetica e aumento della sensibilità dentale.

Dopo l’esame clinico e la valutazione delle strutture dentali residue, la terapia è stata eseguita mediante faccette in composito con tecnica diretta, consentendo il ripristino senza un’estesa preparazione del tessuto dentale sano e un controllo preciso delle fasi operative.

Il materiale composito è stato applicato in modo stratificato, con modellazione individuale della morfologia dentale e adattamento cromatico in base alla situazione clinica, ottenendo una stabilizzazione funzionale ed estetica con preservazione dello smalto residuo. La terapia è stata pianificata ed eseguita sulla base dei reperti clinici e della valutazione della stabilità del risultato nel lungo periodo.
Faccette in composito – prima Faccette in composito – dopo
Durata della terapia 2 giorni
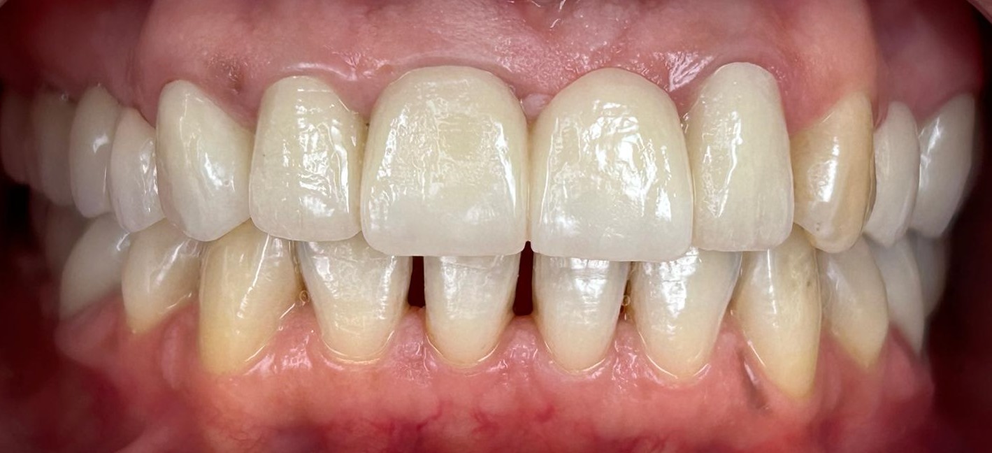
corone in zirconio Fiume Croazia prima corone in zirconio Fiume Croazia dopo
Durata della terapia 7 mesi

Riabilitazione estetica con corone in zirconio

La terapia è iniziata con la sanazione della gengiva per eliminare l’infiammazione e ristabilire condizioni parodontali sane, base fondamentale per una riabilitazione protesica stabile nel tempo.

Dopo la stabilizzazione dei tessuti molli, le carie sono state trattate con restauri in composito, preservando il più possibile il tessuto dentale sano.

Considerate le esigenze estetiche e la necessità di una soluzione duratura, sono state realizzate quattro corone in zirconia ceramica, con particolare attenzione a forma, colore e proporzioni per un risultato naturale ed equilibrato.

Il risultato finale ha garantito funzione stabile, estetica migliorata e gengiva sana, condizione essenziale per il successo a lungo termine.

Eccellenza in ogni sorriso

Rivolgetevi a noi con fiducia

DOCUMENTO(png, jpg, jpeg, pdf, doc, docx)
/dentista/migliori-dentisti-in-croazia.jpg?preset=cs-img