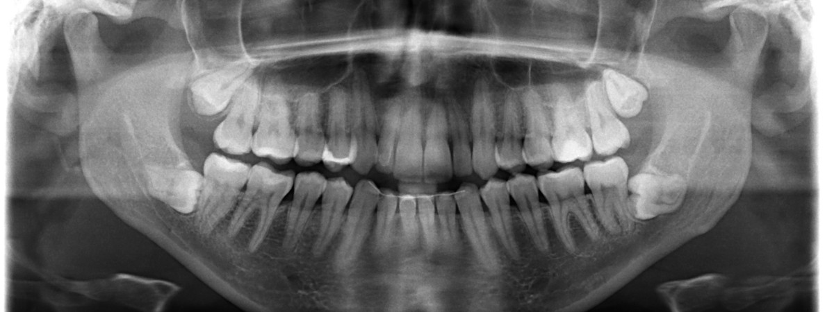
Panoramica dentale – ortopantomografia

Panoramica dentale è una ortopantomografia delle arcate dentarie che consente una visione dettagliata dello stato di tutti i denti, del tessuto gengivale e dell’osso mascellare. Viene utilizzata sia a scopo diagnostico sia preventivo, poiché permette di individuare problemi non visibili a occhio nudo.
 
Panoramica dentale

Eccellenza in ogni sorriso

Per quale motivo facciamo un’ortopantomografia – radiografia panoramica dei denti?

Si consiglia di fare un’ortopantomografia una volta all’anno, poiché permette di individuare tempestivamente eventuali cambiamenti ai denti e alle mascelle, fondamentali per la cura e la salvaguardia della salute orale.
 
ortopantomografia

Cos’è l’ortopantomografia?

L’ortopantomografia è indispensabile quando vogliamo avere una visione completa di tutti i denti e delle strutture ossee circostanti. Viene eseguita come radiografia orientativa alla prima visita, ma è consigliata anche durante il controllo annuale.

Viene eseguita in tutti i casi in cui è più importante avere una panoramica dell’intera dentatura piuttosto che i dettagli di un singolo dente.

Oltre alla funzione orientativa, è impiegata nella pianificazione delle terapie protesiche, ma anche in ortodonzia e in chirurgia orale, per la progettazione di impianti o l’estrazione di denti inclusi.

L’ortopantomografia digitale è la tipologia più comune di immagine dentale e mascellare. È neccessario sottolinerae che la dose di radiazioni emessa è notevolmente ridotta, mentre la precisione diagnostica è superiore rispetto agli ortopantomografi tradizionali.
 
ortopantomografia dentale

Quantità di radiazioni durante un’ortopantomografia

Grazie alla tecnologia digitale di ultima generazione, l’ortopantomografia digitale comporta la dose di radiazioni più bassa possibile, considerata non dannosa.

Può essere eseguita anche nei bambini, in quanto la dose di radiazioni viene ulteriormente ridotta e adatta alla loro età.

Il nostro studio è dotato del nuovissimo ortopantomografo digitale Carestream CS 8200, che garantisce un’esposizione minima.

L’unica fascia alla si raccomanda di evitare le radiografie è quella delle donne in gravidanza, soprattutto nel primo trimestre; in questi casi consigliamo di rinviare l’esame dopo il parto.

L’ortopantomografia è indispensabile per formulare una diagnosi corretta e pianificare in modo preciso la terapia.
Al-Madi, M. A., Al-Shahrani, A. A., & Al-Shehri, M. A. (1992). The use of panoramic radiography in the evaluation of dental caries and periodontal disease. Journal of Clinical Dentistry, 3(2), 45-48.

Perché eseguire un’ortopantomografia presso Centrodent?

Siamo dotati di un apparecchio digitale di ultima generazione per radiografie panoramiche, che emette una quantità di radiazioni significativamente inferiore rispetto ad altri dispositivi e produce immagini ad alta risoluzione, permettendoci di rilevare anche le più piccole alterazioni ai denti e alle mascelle.
 
Naruči se
  • Nessun bisogno di prenotazione

    Per eseguire un’ortopantomografia non è necessario fissare un appuntamento.
  • Massima protezione del paziente

    Durante l’esame il paziente è protetto con un grembiule piombato; per la prevenzione delle infezioni utilizziamo coperture monouso, poiché i componenti in plastica non possono essere sterilizzati.
  • Immagine pronta in 5 minuti

    Inviamo ai pazienti l’ortopantomografia via e-mail o Viber/WhatsApp entro 5 minuti dall’esecuzione. In caso di smarrimento, potete sempre contattarci e ve la invieremo nuovamente.
  • Alta risoluzione per diagnosi precise

    Il nostro apparecchio fornisce immagini panoramiche ad altissima risoluzione, elemento fondamentale per garantire la massima accuratezza diagnostica.

Come si esegue un’ortopantomografia?

Prima dell’esame, il paziente compila i propri dati personali affinché l’immagine possa essere associata correttamente a nome, cognome e codice fiscale.

Questo passaggio è indispensabile per una corretta identificazione e archiviazione della radiografia.
 

Prima di entrare negli spazi per la radiografia, il paziente deve rimuovere tutti gli oggetti metallici come orecchini, collane, piercing al naso o alla lingua e qualsiasi altro tipo di gioiello, oltre a togliere eventuali protesi mobili.

La rimozione di questi elementi è indispensabile perché le parti metalliche possono creare artefatti sull’immagine, rendendo più difficile o addirittura impossibile una diagnosi accurata.

Successivamente, al paziente viene messo un grembiule piombato per la protezione dalle radiazioni e lo si posiziona correttamente di fronte all’apparecchio, in modo da ottenere la migliore qualità possibile della radiografia panoramica.
 

L’intero esame dura circa 20 secondi.

Durante la radiografia, il paziente si trova in una stanza appositamente isolata e protetta con schermature in piombo, mentre l’apparecchio ruota attorno alla testa per ottenere un’immagine completa dei denti, delle mascelle e delle strutture circostanti.

È fondamentale rimanere fermi e immobili per tutta la durata dell’esame.
 

Subito dopo l’esame, l’immagine viene elaborata e inviata al paziente tramite Viber/WhatsApp o e-mail.

In questo modo si garantisce un accesso rapido e semplice ai dati necessari per ulteriori analisi odontoiatriche e per la pianificazione della terapia.

In caso di smarrimento dell’immagine, è sempre possibile richiederne nuovamente l’invio.
 

Domande frequenti sull’ortopantomografia

Il costo di un’ortopantomografia varia generalmente tra i 25 e i 50 €. Molti pazienti, nella scelta della struttura in cui eseguire la radiografia, si basano esclusivamente sul prezzo, trascurando l’importanza della qualità dell’immagine.

Sebbene il costo sia un fattore da considerare, la precisione dell’apparecchio con cui viene effettuata l’ortopantomografia può essere determinante per l’accuratezza della diagnosi e il successo della terapia.

Il nostro apparecchio Carestream CS 8200 offre una risoluzione elevata di 75 micron ed è il più preciso sul mercato, consentendo un’immagine estremamente dettagliata che può fare la differenza tra un dente salvato e uno perso.

Ad esempio, ciò che su dispositivi meno precisi appare come un’infiammazione alla radice - spesso portando all’estrazione - sulle nostre lastre si rivela come un semplice diradamento osseo che non richiede l’asportazione del dente.

La differenza di prezzo tra ortopantomografie è legata alla qualità dell’apparecchiatura: i dispositivi di alto livello possono costare fino al doppio rispetto a quelli di fascia inferiore.

Vale la pena ricordare che la differenza di prezzo è insignificante se confrontata con la perdita ingiustificata di un dente. Per questo motivo, prima di valutare il costo, informatevi sempre sulla qualità del dispositivo utilizzato: non conviene rischiare la perdita di un dente per risparmiare 10-15 €.
 

Si consiglia di eseguire un’ortopantomografia almeno una volta l’anno, poiché il ritmo di vita frenetico e lo stress quotidiano possono influire negativamente sulla salute orale.

Nel giro di soli dodici mesi possono verificarsi cambiamenti significativi che, senza un esame radiografico, spesso passano inosservati; una diagnosi tempestiva permette invece di prevenire problemi di salute più gravi.
 

I benefici più importanti di questo esame sono la possibilità di rilevare precocemente carie, cisti, infezioni, problemi alle radici dentali e condizioni dell’osso, consentendo così una pianificazione tempestiva della terapia.

Se l’odontoiatra nota alterazioni non del tutto chiare sull’ortopantomografia, può consigliare un esame 3D CBCT della mascella, che fornisce una rappresentazione tridimensionale di denti e strutture circostanti con un livello di precisione ancora maggiore.

Il CBCT è particolarmente utile nei casi complessi, come la pianificazione di interventi implantologici, la valutazione dei rapporti anatomici o la diagnosi di alterazioni patologiche non ben definite.
 

L’ortopantomografia (radiografia panoramica) e il CBCT (Cone Beam Computed Tomography) sono due metodi diagnostici ben distinti in odontoiatria. Pur avendo entrambe lo scopo di mostrare le strutture delle arcate dentarie, differiscono in modo significativo sia per la tecnologia di acquisizione sia per la quantità e il tipo di informazioni che forniscono.

L’ortopantomografia o ortopanoramica è un’immagine bidimensionale che rappresenta in un’unica proiezione mascelle, denti, articolazioni e strutture circostanti. Viene utilizzata soprattutto come primo passo nella diagnosi, perché è rapida, semplice e comporta un’esposizione a radiazioni molto bassa. Fornisce una panoramica dello stato generale: permette di individuare carie in zone difficili da raggiungere, valutare lo stato dell’osso, la posizione dei denti del giudizio, eventuali alterazioni a livello delle radici, cisti o altre lesioni più estese.

D’altra parte il CBCT produce un’immagine tridimensionale che consente di osservare con grande precisione ossa, denti, radici, nervi e strutture circostanti da più angolazioni. È insostituibile quando serve una diagnosi approfondita: pianificazione di impianti, valutazione della densità ossea, terapia endodontica (per esempio l’individuazione di canali aggiuntivi), analisi della posizione di denti inclusi, localizzazione esatta di fratture o comprensione dei rapporti tra denti, seni mascellari e nervo mandibolare. Pur utilizzando una dose di radiazioni superiore rispetto all’ortopantomografia, il CBCT ne impiega comunque molto meno rispetto a un tradizionale esame TAC, e viene eseguito solo quando strettamente necessario.

In sintesi, l’ortopantomografia è come uno sguardo da lontano, sufficiente per un quadro generale, mentre il CBCT equivale all’entrata all’interno delle strutture per osservarle strato per strato. Entrambi gli esami hanno un ruolo preciso e un odontoiatra competente saprà consigliare quale eseguire e quando, tenendo sempre conto della sicurezza e delle reali esigenze del paziente.
 

La realizzazione dell’immagine dura in media solo 15-20 secondi, mentre la permanenza complessiva nella sala radiografica raramente supera pochi minuti. La fase più lunga non è l’esposizione ai raggi, ma la preparazione: il tecnico chiederà di rimuovere eventuali oggetti metallici dalla testa e dal collo, di assumere la posizione corretta e di mordere un supporto in plastica per mantenere stabile il capo.

Durante l’esame, l’apparecchio ruota intorno alla testa in un movimento fluido da un orecchio all’altro, mentre il paziente rimane immobile. Grazie alla sua brevità e alla minima dose di radiazioni, l’ortopantomografia è considerata un metodo diagnostico sicuro e veloce, utilizzato di routine sia negli adulti che nei bambini.
 

Per eseguire un’ortopantomografia non è sempre necessaria un’impegnativa, ma deve esserci sempre la raccomandazione di un odontoiatra o di un medico che ne ritenga l’esame giustificato e necessario, anche quando viene effettuato in una struttura privata.

Se si accede tramite il Servizio sanitario nazionale (SSN) - ad esempio in un ambulatorio pubblico o in ospedale - l’impegnativa è obbligatoria. Viene rilasciata dal proprio odontoiatra di fiducia e l’esame è a carico del SSN. In assenza di impegnativa, il costo dell’esame è a carico del paziente.

Anche in una struttura privata, dove formalmente l’impegnativa non è richiesta, l’esame non dovrebbe essere eseguito senza la prescrizione medica. Si tratta infatti di un esame diagnostico che utilizza radiazioni e deve avere una motivazione clinica chiara. Sottoporsi all’esame di propria iniziativa, senza una valutazione professionale e un’indicazione precisa, non è conforme a una pratica medica responsabile.

L’ortopantomografia mostra denti, mascelle e strutture circostanti nella loro interezza, ed è spesso richiesta dal odontoiatra per valutare lo stato del cavo orale prima di una terapia - ad esempio prima di un intervento, per una valutazione ortodontica, per una terapia endodontica o in presenza di dolore e infiammazioni. Se non si dispone già di un’immagine aggiornata, l’odontoiatra fornirà una chiara indicazione su dove e in quale tempistica eseguire l’esame.

In definitiva, l’ortopantomografia non è una questione burocratica, ma una decisione clinica che deve basarsi su una valutazione professionale e sulla tutela della salute del paziente.
 

Testimonianze dei nostri pazienti italiani

/dentista/dentista-in-croazia-recensioni.JPG?preset=ht-img
dentista fiume recensioni

Bindusa D.

52, Italia
Un team di professionisti altamente qualificato e con un forte senso di responsabilità individuale e collettiva. La Dottoressa Željka è l’espressione massima dell’eccellenza. Raccomando vivamente.
 
dentista fiume recensioni

Simone B.

57, Italia
La mia esperienza qui a CentroDent e stata molto positiva, mi sono fidato cecamente della dottoressa che mi ha seguito in tutta la fase della ricostruzione della bocca. Non ho mai avuto nessun problema o dolori. Sicuramente consiglierò a chi mi chiede un consiglio.
dentista fiume recensioni

Giuliana C.

54, Italia
Ringrazio in particolar modo la dottoressa Zeljka per la gentilezza, la professionalità e la spiegazione dettagliata e rassicurante durante le sedute, molto soddisfatta anche dal punto di vista estetico. Io e mio marito ora sappiamo a chi affidarci. 
dentista fiume recensioni

Emanuela Z.

61, Italia
Consiglio Centrodent, sono più di 10 anni che sono paziente della Dott.ssa Željka e mi sono sempre trovata bene. Igene,professionalità,gentilezza. Vieni informata nel dettaglio di tutte le cure da fare non ci sono mai sorprese, la Dott.ssa è molto pignola e svolge il Suo lavoro con passione il top. Quando mi siedo in quella poltrona sono tranquilla ripongo la mia totale fiducia. Grazie Dott.ssa Željka.

Eccellenza in ogni sorriso

Rivolgetevi a noi con fiducia

DOCUMENTO(png, jpg, jpeg, pdf, doc, docx)
/dentista/migliori-dentisti-in-croazia.jpg?preset=cs-img