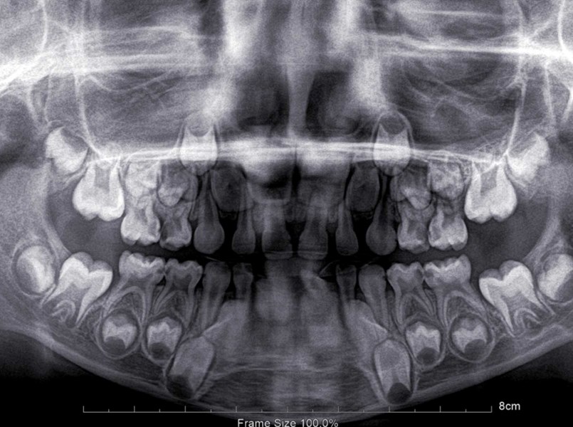
Denti da latte - come prendersene cura?

I denti da latte sono i primi denti che compaiono nei bambini, di solito tra il sesto e il dodicesimo mese di vita. Sono fondamentali per la corretta masticazione, il normale sviluppo delle mascelle e il mantenimento dello spazio per i denti permanenti. In totale quanti sono i denti da latte? Sono 20.
 
denti da latte

Eccellenza in ogni sorriso

quando cadono i denti da latte

I primi dentini nei bambini - l’importanza dei denti da latte

I denti nei neonati di solito iniziano a spuntare tra il sesto e il dodicesimo mese di vita. Tuttavia, in alcuni bambini l’eruzione può avvenire già a quattro mesi, mentre in altri il primo dentino compare solo dopo il primo compleanno.

La comparsa dei denti da latte nei bambini è un evento importante per tutta la famiglia e porta con sé grande entusiasmo. I primi dentini implicano nuove responsabilità. Sebbene non siano permanenti, hanno un ruolo fondamentale nella crescita e nello sviluppo corretti dei denti e delle mascelle del bambino.

I denti da latte consentono al bambino di masticare correttamente il cibo e di articolare i suoni. Inoltre, mantengono lo spazio per i denti permanenti che devono ancora erompere, garantendo loro la giusta posizione.

Denti da latte sani contribuiscono anche al corretto sviluppo delle mascelle, influenzando l’estetica del sorriso del bambino e la sua futura autostima.

È necessario prendersi cura dei denti da latte: la loro salute incide sulla salute orale complessiva anche in età adulta. Una cura precoce e costante dei primi dentini può prevenire problemi futuri. In questo modo si evitano malocclusioni o lo sviluppo della carie denti da latte nei denti permanenti.

 

Quando cadono i denti da latte?

Intorno ai sei anni i denti da latte iniziano a cadere, anche se il momento preciso varia da bambino a bambino.

Il processo di caduta comincia con gli incisivi inferiori, seguiti da quelli superiori. I molari cadono per ultimi, di solito tra i dieci e i dodici anni.

In questo periodo iniziano a erompere i denti permanenti che sostituiscono quelli da latte. Il primo molare permanente, chiamato “sesto”, erompe intorno ai sei anni dietro l’ultimo dente da latte.

Il “sesto” è un dente più grande, situato alla fine dell’arcata dentale. La carie nei bambini spesso compare proprio su questo dente, perché è difficile da pulire a causa delle cuspidi e dei solchi profondi. Per questo si raccomanda la sigillatura dei solchi come misura preventiva, così da proteggere il dente dallo sviluppo della carie.

I denti da latte non devono essere estratti con metodi casalinghi, come tirarli con il filo. Devono essere lasciati cadere spontaneamente oppure rimossi da un dentista, che lo farà in modo sicuro e indolore.

Tra i 7 e gli 8 anni è consigliato portare il bambino a una visita ortodontica, per valutare la necessità di un trattamento precoce e assicurare il corretto sviluppo dei denti e delle mascelle. In questa fase può essere utile anche uno schema caduta denti da latte per seguire l’ordine naturale di eruzione e sostituzione.
 

Bisogna curare i denti da latte cariati?

Sì, i denti da latte cariati devono essere curati, anche se sono destinati a cadere. Oltre a mantenere lo spazio per i denti permanenti, permettono una corretta masticazione e favoriscono il normale sviluppo delle mascelle del bambino.

Se i denti da latte non vengono curati, esiste il rischio che la carie denti da latte si diffonda e causi infezioni ai denti vicini, inclusi i permanenti che crescono sotto le gengive. Inoltre, i denti da latte aiutano a mantenere la giusta posizione dei denti e prevengono anomalie nell’eruzione dei permanenti.

Visite regolari dal dentista consentono un intervento precoce e riducono la paura del bambino, che impara a considerare lo studio dentistico come un ambiente familiare.

Mantenere sani i denti da latte aiuta anche il bambino a sviluppare buone abitudini di igiene orale, che lo accompagneranno per tutta la vita. Questo contribuirà a garantirgli un sorriso sano e denti permanenti forti.

I genitori chiedono spesso quando portare per la prima volta il bambino dal dentista. La risposta è: portatelo presto e accompagnatelo regolarmente ai controlli. Il bambino deve abituarsi all’ambiente dello studio dentistico. Se la prima visita è legata al dolore, è più probabile che sviluppi paura del dentista.

 

Domande frequenti sui denti da latte

I denti da latte iniziano a cadere intorno ai sei anni e il processo di solito si conclude entro i dodici.

Col tempo vengono sostituiti dai denti permanenti e possono esserci differenze individuali nei tempi di caduta.
 

L’eruzione dei denti, cioè la comparsa dei denti da latte nei neonati, inizia di solito intorno al sesto mese di vita. Può essere accompagnata da irritabilità e da un’aumentata salivazione.

Di solito compaiono per primi gli incisivi inferiori e, entro i tre anni, la maggior parte dei bambini ha tutti i 20 denti da latte.
 

Quando i denti da latte stanno erompendo, le gengive dei neonati di solito diventano leggermente gonfie e sensibili.

Possono assumere un colore più rossastro e, nei punti in cui spuntano i denti, possono comparire piccoli rigonfiamenti o sporgenze.

Questo fenomeno è generalmente transitorio e fa parte del normale processo di eruzione dentaria.

Prvi posjet stomatologu preporučuje se već nakon nicanja prvog mliječnog zuba, najkasnije do prve godine života.

Rani posjet stomatologu pomaže roditeljima dobiti savjete o pravilnoj njezi mliječnih zubi i održavanju oralne higijene kod djece.

Redoviti pregledi važni su za rano otkrivanje problema poput karijesa na mliječnim zubima te za praćenje pravilnog rasta zubi i razvoja čeljusti.

Na taj način dijete se postupno navikava na stomatološku ordinaciju i razvija pozitivan odnos prema brizi o zubima.

Crni zubi kod djece mogu nastati iz nekoliko razloga, a najčešći uzrok je karijes na mliječnim zubima.

Kada se karijes razvije i zahvati zubnu caklinu i dentin, zub može potamnjeti te poprimiti tamnosmeđu ili crnu boju.

Osim karijesa, crni zubi kod djece mogu nastati i zbog nakupljanja bakterijskih naslaga, pigmentacija od hrane i pića ili zbog takozvane crne pigmentacije zuba (black stain) koja je povezana s određenim bakterijama u usnoj šupljini.

Redovito pranje zubi, pravilna oralna higijena i redoviti pregledi kod stomatologa važni su za očuvanje zdravlja mliječnih zubi i sprječavanje promjena boje zuba.

Eccellenza in ogni sorriso

Rivolgetevi a noi con fiducia

DOCUMENTO(png, jpg, jpeg, pdf, doc, docx)
/dentista/migliori-dentisti-in-croazia.jpg?preset=cs-img